

lichthärtendes, MMA- und peroxidfreies Composite in Strangform für funktionstherapeutische Aufbissschienen und mehr
lichthärtendes, MMA- und peroxidfreies Composite in Strangform für funktionstherapeutische Aufbissschienen und mehr
PRODUKTDETAILS
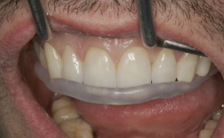
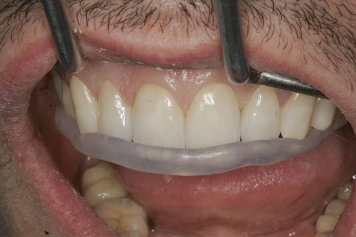
Anwendungsbilder
Anwendungsgebiete

- funktionstherapeutische Aufbissschienen
- Implantatbohrschablonen
- Nobel Biocare OP Schablonen
- CT-Scanning Schablonen
- Röntgenschablonen
- Kontroll- und Übertragungsschlüssel
- Einsetzhilfen für Implantat-Abutments
- Procera Implant Bridge Modellationen
- Kontroll- und Einsetzhilfen für Veneers
Vorteile
- besonders einfach und schnell zu verarbeiten
- knetähnliche Konsistenz bei Raumtemperatur – muss nicht erwärmt werden
- polymerisiert zuverlässig in den meisten konventionellen Lichthärtegeräten
- extrem präzise, keine klinisch relevante Polymerisationsschrumpfung, kein Verzug
- abrasionsoptimiert, schont die Zahnsubstanz und schützt das Kiefergelenk
- MMA- und peroxidfrei – geringstes Allergierisiko für Techniker und Patienten
- voll autoklavierbar – kein Verzug bei Implantatbohrschablonen durch Dampf-sterilisation
- kann problemlos mit anderen Materialien kombiniert werden (PMMA-Kunststoff oder Tiefziehfolien)
- Geruchs- und Geschmacksneutral, leicht zu reparieren

Arbeitsablauf im Detail
Technik Tipps
Wenn man einen neuen Strang primosplint der Verpackung entnimmt, sollte er zuerst für ca. 15 Sekunden leicht gebogen und geknetet werden. Dadurch wird das Material weicher und leichter zu verarbeiten.
Soll primosplint auf eine Tiefziehfolie aufgebaut werden, muss die Folie gut angeraut sein, bevor der primostick Bonder aufgetragen wird.


Um maximale Transparenz der fertigen Schiene zu erreichen, wird sie zuerst innen wie außen vorsichtig mit 110µ Aluminiumoxid bei 2 bar Druck abgestrahlt. Dann wird auf der Schieneninnenseite eine dünne Schicht primoglaze Glanzlack aufgetragen und jeglicher Überschuss abgeblasen. Außen werden zwei dünne Schichten primoglaze in Kreuzgang aufgetragen und nacheinander lichtgehärtet.
Leistungsstarke Stroboskop-Lichthärtegeräte sind für die Polymerisation von primosplint ungeeignet und sollen nicht verwendet werden.
Hintergrund
primosplint ist ein thixotroper Werkstoff. Je mehr Energie man in das Material einbringt, umso weicher und knetbarer wird es.

primosplint Schienen sind hochstabil aber nicht spröde, denn Bruchfestigkeit und E-Modul wurden für die Schienenanwendung optimiert. Als lichthärtendes Composite hat primosplint geringsten Polymerisationsschrumpf und damit höchste Polymerisationsstabilität. Das bedeutet beste Passung ohne „Schaukler“ oder „Wipper“ nach der Lichthärtung.
primosplint ist abrasionsoptimiert. So beißen sich eventuelle Frühkontakte schneller ein, das Kiefergelenk wird entlastet.
Veröffentlichungen
Damit die zahntechnische Arbeit auf dem Modell und im Patientenmund einwandfrei passt
Bestellinformationen

- PS100, Packung mit 12 primosplint Strängen
- PS202, primostick, Bonder
- PS203, primosep, Gips...

Downloads
Die Broschüre enthält detaillierte Produkt- informationen sowie Preise.
Hier erfahren Sie mehr Details zur richtigen Verarbeitung von primosplint.
häufig gestellte Fragen mit kompetenten Antworten und Lösungsvorschlägen
Hier liegt für Ihre QM-Unterlagen das Sicherheitsdatenblatt zu primosep bereit
Hier liegt für Ihre QM-Unterlagen das Sicherheitsdatenblatt zum primosplint bereit
Hier liegt für Ihre QM-Unterlagen das Sicherheitsdatenblatt zum primostick Gel bereit
Hier liegt für Ihre QM-Unterlagen das Sicherheitsdatenblatt zum primoglaze bereit
Hier liegt für Ihre QM-Unterlagen das Sicherheitsdatenblatt zum primoclean bereit
Hier liegt für Ihre QM-Unterlagen das Sicherheitsdatenblatt zum metatouch bereit
Hinweis für Allergiker
Eine Auflistung diverser Stoffe/Allergene, die in primosplint nicht enthalten sind.
Produktdetails

- funktionstherapeutische Aufbissschienen
- Implantatbohrschablonen
- Nobel Biocare OP Schablonen
- CT-Scanning Schablonen
- Röntgenschablonen
- Kontroll- und Übertragungsschlüssel
- Einsetzhilfen für Implantat-Abutments
- Procera Implant Bridge Modellationen
- Kontroll- und Einsetzhilfen für Veneers
- besonders einfach und schnell zu verarbeiten
- knetähnliche Konsistenz bei Raumtemperatur – muss nicht erwärmt werden
- polymerisiert zuverlässig in den meisten konventionellen Lichthärtegeräten
- extrem präzise, keine klinisch relevante Polymerisationsschrumpfung, kein Verzug
- abrasionsoptimiert, schont die Zahnsubstanz und schützt das Kiefergelenk
- MMA- und peroxidfrei – geringstes Allergierisiko für Techniker und Patienten
- voll autoklavierbar – kein Verzug bei Implantatbohrschablonen durch Dampf-sterilisation
- kann problemlos mit anderen Materialien kombiniert werden (PMMA-Kunststoff oder Tiefziehfolien)
- Geruchs- und Geschmacksneutral, leicht zu reparieren

Wenn man einen neuen Strang primosplint der Verpackung entnimmt, sollte er zuerst für ca. 15 Sekunden leicht gebogen und geknetet werden. Dadurch wird das Material weicher und leichter zu verarbeiten.
Soll primosplint auf eine Tiefziehfolie aufgebaut werden, muss die Folie gut angeraut sein, bevor der primostick Bonder aufgetragen wird.


Um maximale Transparenz der fertigen Schiene zu erreichen, wird sie zuerst innen wie außen vorsichtig mit 110µ Aluminiumoxid bei 2 bar Druck abgestrahlt. Dann wird auf der Schieneninnenseite eine dünne Schicht primoglaze Glanzlack aufgetragen und jeglicher Überschuss abgeblasen. Außen werden zwei dünne Schichten primoglaze in Kreuzgang aufgetragen und nacheinander lichtgehärtet.
Leistungsstarke Stroboskop-Lichthärtegeräte sind für die Polymerisation von primosplint ungeeignet und sollen nicht verwendet werden.
primosplint ist ein thixotroper Werkstoff. Je mehr Energie man in das Material einbringt, umso weicher und knetbarer wird es.

primosplint Schienen sind hochstabil aber nicht spröde, denn Bruchfestigkeit und E-Modul wurden für die Schienenanwendung optimiert. Als lichthärtendes Composite hat primosplint geringsten Polymerisationsschrumpf und damit höchste Polymerisationsstabilität. Das bedeutet beste Passung ohne „Schaukler“ oder „Wipper“ nach der Lichthärtung.
primosplint ist abrasionsoptimiert. So beißen sich eventuelle Frühkontakte schneller ein, das Kiefergelenk wird entlastet.
Damit die zahntechnische Arbeit auf dem Modell und im Patientenmund einwandfrei passt

- PS100, Packung mit 12 primosplint Strängen
- PS202, primostick, Bonder
- PS203, primosep, Gips...

Die Broschüre enthält detaillierte Produkt- informationen sowie Preise.
Hier erfahren Sie mehr Details zur richtigen Verarbeitung von primosplint.
häufig gestellte Fragen mit kompetenten Antworten und Lösungsvorschlägen
Hier liegt für Ihre QM-Unterlagen das Sicherheitsdatenblatt zu primosep bereit
Hier liegt für Ihre QM-Unterlagen das Sicherheitsdatenblatt zum primosplint bereit
Hier liegt für Ihre QM-Unterlagen das Sicherheitsdatenblatt zum primostick Gel bereit
Hier liegt für Ihre QM-Unterlagen das Sicherheitsdatenblatt zum primoglaze bereit
Hier liegt für Ihre QM-Unterlagen das Sicherheitsdatenblatt zum primoclean bereit
Hier liegt für Ihre QM-Unterlagen das Sicherheitsdatenblatt zum metatouch bereit
Eine Auflistung diverser Stoffe/Allergene, die in primosplint nicht enthalten sind.





