

PREMIO Alegra ist das multifunktionale, mehrdimensionale Zirkondioxid, mit dem alle
Indikationen für monolithischen Zahnersatz perfekt abgedeckt werden.
Das Premium Zirkon für alle Fälle
PRODUKTDETAILS
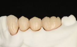
Anwendungsbilder
Die nächste Generation der Vollkeramik!
Mit PREMIO Alegra PRO und SMILE Zirkondioxid lassen sich selbst die anspruchsvollsten Patientenfälle ästhetisch äußerst ansprechend, sehr sicher und verlässlich biokompatibel lösen.
Die vier integrierten Gradienten - Farbe, Transluzenz, Biegefestigkeit und Risszähigkeit - schaffen eine ideale Kombination aus sehr guten lichtoptischen und mechanischen Eigenschaften. So wird dieses innovative Material zum „game changer“ in Labor und Praxis.
Die harmonischste Verbindung von Ästhetik und Stabilität - PREMIO Alegra
Anwendungsgebiete

PREMIO Alegra PRO - alle Indikationen - keine Limits
- Verantwortlich für die ästhetischen Qualitäten der PREMIO Alegra PRO Zirkon Blanks sind die Multi Color Schichtung und die kontinuierlich ansteigende Transluzenz des Materials.
- Im Detail: durch den Multicolor-Gradienten entsteht ein natürlicher, harmonischer Farbverlauf der vollanatomischen Zirkonrestauration von zervikal nach inzisal.
- Die Transluzenz der PREMIO Alegra PRO Ronde erhöht sich von 43% im Zahnhalsbereich stufenlos auf knapp 47% im Bereich der Schneide. Damit bieten diese beiden Gradienten beste Voraussetzungen für eine hohe ästhetische Wirkung.
Doch Ästhetik allein genügt nicht, um als innovativer, monolithischer Werkstoff universell einsetzbar zu sein. Um dem Anspruch „ein Zirkon für alle Fälle“ gerecht zu werden, müssen auch Biegefestigkeit und Risszähigkeit stimmen. Und beide Werte sind bei PREMIO Alegra PRO bemerkenswert.
- So weist die Biegefestigkeit einen Wert von 1300 MPa zervikal auf, der sich nach inzisal sukzessive auf 1027 MPa reduziert. Im Bereich der Verbinder stehen immer noch zwischen 1200 und 1100 MPa zur Verfügung.
- Die Risszähigkeit von PREMIO Alegra PRO liegt im Zahnhalsbereich bei > 3,5 MPa ∙ √m und steigert sich zur Schneide hin auf > 5 MPa ∙ √m. Damit können problemlos alle Stabilitätsansprüche selbst für die umfangreichsten zahntechnischen Zirkon- Arbeiten erfüllt werden.


PREMIO Alegra SMILE - kompromisslos natürliche Ästhetik
- Wenn es ästhetisch noch etwas mehr sein soll, dann kommt PREMIO Alegra SMILE zum Einsatz. Bei diesem Premium Material, das den Vergleich mit Lithiumdisilikat-Keramiken nicht scheuen muss, sind zwei der vier Alegra Gradienten noch mehr in Richtung Ästhetik optimiert.
- Mit einer Transluzenz von 47% zervikal bis knapp 49% im Inzisalbereich und einer Biegefestigkeit von immerhin 1000 MPa im Zahnhalsbereich, zwischen 900 MPa und 800 MPa im Bereich der Verbinder und 727 MPa im Schneidebereich, lassen sich mit PREMIO Alegra SMILE Einzelkronen bis hin zu viergliedrigen Brücken mit unvergleichlicher Schönheit herstellen.
Vorteile

- vier Gradienten Premium Zirkon
- alle Indikationen - keine Limits
- homogener Multilayer Farbverlauf
- fließend ansteigender Transluzenzgrad bis 49%
- Festigkeitsanstieg bis 1300 MPa
- Risszähigkeit bis > 5 MPa ∙ √m
- herausragende lichtoptische Eigenschaften
- verlässlich reproduzierbare Farbwiedergabe
- Transluzenz ganz ohne Grau- oder Grünstich
- sehr glatte Oberflächen
- präzise auf das Vita-Farbsystem abgestimmt
- alle Vita Farben plus Bleach 1 und 2
- sehr gute Fräseigenschaften
- einfachste Handhabung
- reduzierte Lagerhaltung
- für alle gängigen Fräsmaschinen (98,5 und 95mm)
Technik Tipps

Es besteht die Möglichkeit, das Maß der Transluzenz im Inzisalbereich individuell einzustellen, indem man beim Nesting in der CAM Software die Position der Restauration in der Vertikalen entsprechend anpasst. Je weiter oben aus der Ronde gefräst wird, desto transluzenter ist das Ergebnis.
Veröffentlichungen
Bestellinformationen


Downloads
Produktdetails
Die nächste Generation der Vollkeramik!
Mit PREMIO Alegra PRO und SMILE Zirkondioxid lassen sich selbst die anspruchsvollsten Patientenfälle ästhetisch äußerst ansprechend, sehr sicher und verlässlich biokompatibel lösen.
Die vier integrierten Gradienten - Farbe, Transluzenz, Biegefestigkeit und Risszähigkeit - schaffen eine ideale Kombination aus sehr guten lichtoptischen und mechanischen Eigenschaften. So wird dieses innovative Material zum „game changer“ in Labor und Praxis.
Die harmonischste Verbindung von Ästhetik und Stabilität - PREMIO Alegra

PREMIO Alegra PRO - alle Indikationen - keine Limits
- Verantwortlich für die ästhetischen Qualitäten der PREMIO Alegra PRO Zirkon Blanks sind die Multi Color Schichtung und die kontinuierlich ansteigende Transluzenz des Materials.
- Im Detail: durch den Multicolor-Gradienten entsteht ein natürlicher, harmonischer Farbverlauf der vollanatomischen Zirkonrestauration von zervikal nach inzisal.
- Die Transluzenz der PREMIO Alegra PRO Ronde erhöht sich von 43% im Zahnhalsbereich stufenlos auf knapp 47% im Bereich der Schneide. Damit bieten diese beiden Gradienten beste Voraussetzungen für eine hohe ästhetische Wirkung.
Doch Ästhetik allein genügt nicht, um als innovativer, monolithischer Werkstoff universell einsetzbar zu sein. Um dem Anspruch „ein Zirkon für alle Fälle“ gerecht zu werden, müssen auch Biegefestigkeit und Risszähigkeit stimmen. Und beide Werte sind bei PREMIO Alegra PRO bemerkenswert.
- So weist die Biegefestigkeit einen Wert von 1300 MPa zervikal auf, der sich nach inzisal sukzessive auf 1027 MPa reduziert. Im Bereich der Verbinder stehen immer noch zwischen 1200 und 1100 MPa zur Verfügung.
- Die Risszähigkeit von PREMIO Alegra PRO liegt im Zahnhalsbereich bei > 3,5 MPa ∙ √m und steigert sich zur Schneide hin auf > 5 MPa ∙ √m. Damit können problemlos alle Stabilitätsansprüche selbst für die umfangreichsten zahntechnischen Zirkon- Arbeiten erfüllt werden.


PREMIO Alegra SMILE - kompromisslos natürliche Ästhetik
- Wenn es ästhetisch noch etwas mehr sein soll, dann kommt PREMIO Alegra SMILE zum Einsatz. Bei diesem Premium Material, das den Vergleich mit Lithiumdisilikat-Keramiken nicht scheuen muss, sind zwei der vier Alegra Gradienten noch mehr in Richtung Ästhetik optimiert.
- Mit einer Transluzenz von 47% zervikal bis knapp 49% im Inzisalbereich und einer Biegefestigkeit von immerhin 1000 MPa im Zahnhalsbereich, zwischen 900 MPa und 800 MPa im Bereich der Verbinder und 727 MPa im Schneidebereich, lassen sich mit PREMIO Alegra SMILE Einzelkronen bis hin zu viergliedrigen Brücken mit unvergleichlicher Schönheit herstellen.

- vier Gradienten Premium Zirkon
- alle Indikationen - keine Limits
- homogener Multilayer Farbverlauf
- fließend ansteigender Transluzenzgrad bis 49%
- Festigkeitsanstieg bis 1300 MPa
- Risszähigkeit bis > 5 MPa ∙ √m
- herausragende lichtoptische Eigenschaften
- verlässlich reproduzierbare Farbwiedergabe
- Transluzenz ganz ohne Grau- oder Grünstich
- sehr glatte Oberflächen
- präzise auf das Vita-Farbsystem abgestimmt
- alle Vita Farben plus Bleach 1 und 2
- sehr gute Fräseigenschaften
- einfachste Handhabung
- reduzierte Lagerhaltung
- für alle gängigen Fräsmaschinen (98,5 und 95mm)

Es besteht die Möglichkeit, das Maß der Transluzenz im Inzisalbereich individuell einzustellen, indem man beim Nesting in der CAM Software die Position der Restauration in der Vertikalen entsprechend anpasst. Je weiter oben aus der Ronde gefräst wird, desto transluzenter ist das Ergebnis.


