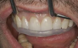
light cured composite splint material

in general light cured composite is the most precise, distortion-free and antiallergenic material for night guards and more

insertion guides for veneers