light cured bite registration material

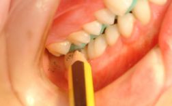
Developed in cooperation with Dr. Diether Reusch / Westerburg. primobyte centric bite registrates consist of two components, the green centric registration base plate and the blue detail paste (for the actual centric stops).