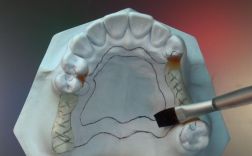
the very unique chemical formula of the Metacon wax ideally combines waxes, acrylics and photo-polymerising elements. Thus the material handles like wax before - and like acrylic after light curing
upper partial with clasps